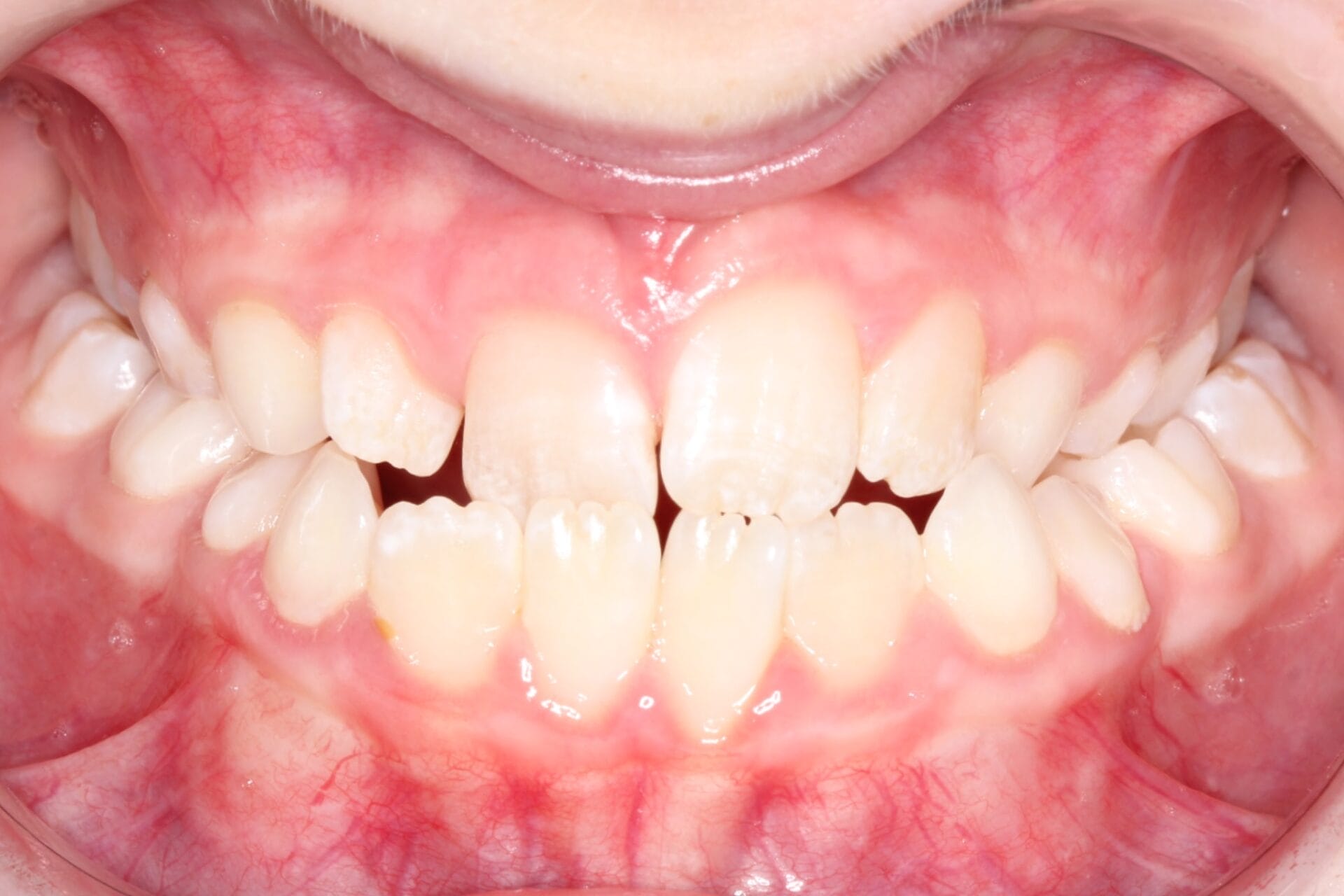
Before and After
Real Results, Real Smiles
At Thorndon Orthodontics, we’re proud to help our patients achieve healthy, confident smiles through specialist orthodontic care. Our Before and After gallery showcases real results from real patients — children, teenagers, and adults — who have completed treatment with us.
Whether you’re considering early treatment , braces, or clear aligners , or orthodontic treatment for more complex bite concerns , viewing past cases can help you understand what’s possible and what treatment might achieve for you.
What Can Orthodontic Treatment Improve?
Orthodontics isn’t just about straight teeth — it’s about function, comfort, and confidence. Our treatment plans are designed to improve:
- Crowded or spaced teeth
- Overbites, underbites, and crossbites
- Impacted or ectopic teeth
- Jaw alignment and facial balance
- Relapse after previous treatment
- Preparation for implants or restorative dental work
You’ll see a range of outcomes in our gallery, from subtle refinements to dramatic transformations, all achieved through customised care by our specialist Wellington orthodontist.
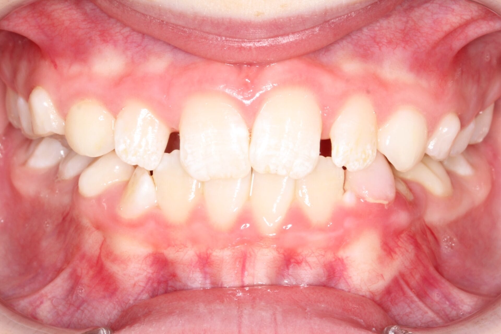
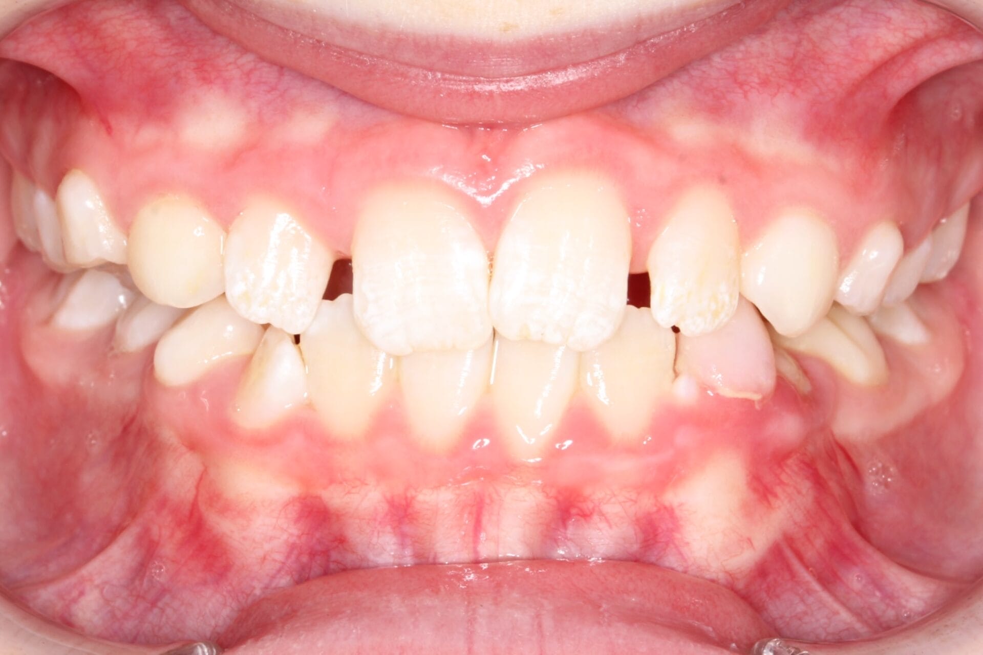
Drag slider to see before and after photos
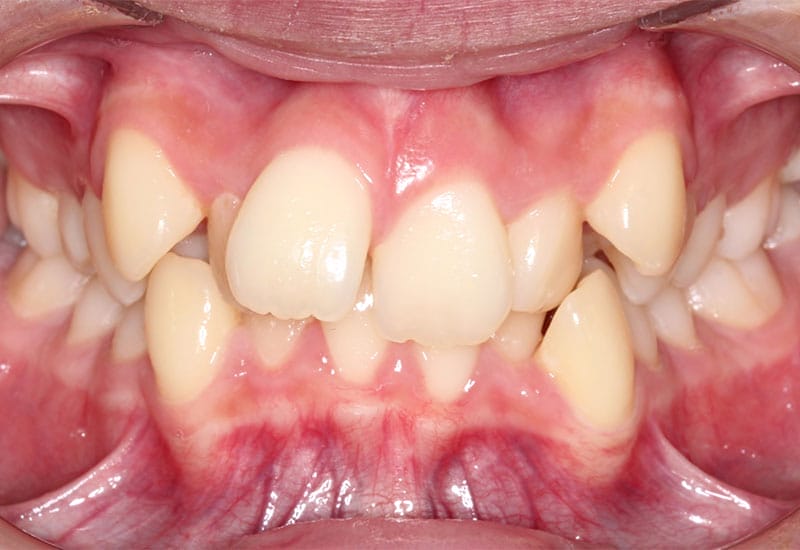
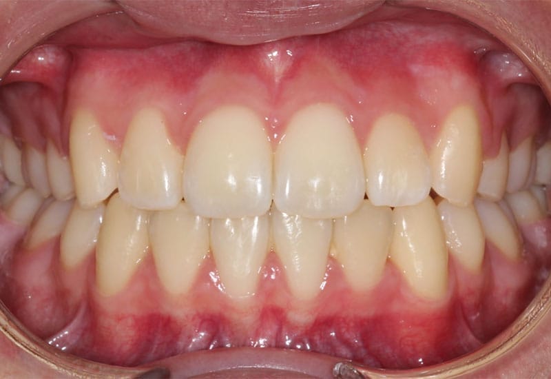
Severe dental crowding


Treated with: Braces with four premolar extractions to improve dental alignment, smile and bite
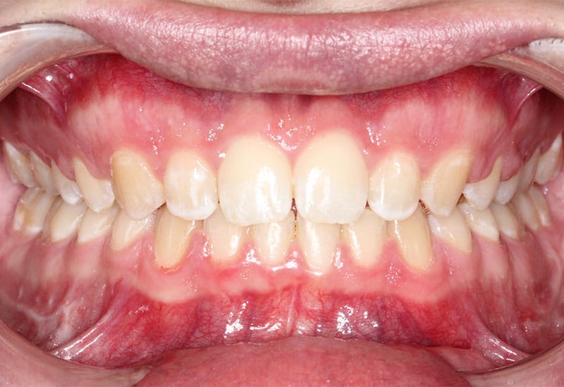
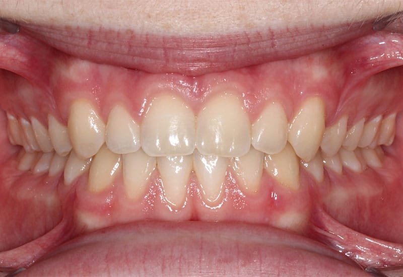
Adult with crowding and dental protrusion


Treated with: Braces with four premolar extractions to improve alignment and reduce protrusion
Moderate anterior openbite


Treated with: Braces and four premolar extractions to relieve crowding and correct open bite
Hypomineralised molars


Treated with: Braces to close residual spaces following extraction of compromised molars
Severe underbite


Treated with: Braces and two-jaw (bimax) surgery to correct the size and position of the jaws
Severe deep bite in an adult patient


Treated with: Braces and lower jaw advancement surgery to correct the lower jaw size and position
Deep bite in a growing patient


Treated with: Braces - no extractions were needed to improve alignment and fully correct the deep bite
Mild underbite and crowding


Treated with: Braces with four premolar extractions, upper dental arch expansion to improve bite and alignment
Missing permanent premolars


Treated with: Braces and removal of baby molar teeth, orthodontic space closure to eliminate future need for implants
Crowding and non-coincident midlines


Treated with: Braces and asymmetrical extractions to align dental midlines
Spacing (gaps between teeth)


Treated with: Braces to close spaces, improve alignment and bite
Generalised crossbite in a growing patient


Treated with: Upper jaw expansion and reverse-pull headgear for early crossbite correction, reducing the need for jaw surgery in future
Start Your Own Smile Transformation
Ready to begin your own before and after journey? Whether you’re seeking a cosmetic improvement or a solution to a functional concern, we’ll guide you through a personalised plan that delivers results, with clarity and care.
